بیماری سل ریه چیست؟ علائم، تشخیص و درمان
راههای انتقال، علائم، تشخیص و درمان سل ریوی
بیماری سل ریه (Pulmonary Tuberculosis) یکی از مهمترین بیماریهای عفونی دستگاه تنفسی است که توسط باکتری Mycobacterium tuberculosis ایجاد میشود. این بیماری عمدتاً ریهها را درگیر میکند اما در صورت عدم درمان، میتواند سایر اعضای بدن را نیز تحت تأثیر قرار دهد. تشخیص زودهنگام و درمان اصولی سل، نقش بسیار مهمی در پیشگیری از انتقال و عوارض جدی آن دارد.
سل ریه چگونه منتقل میشود؟
سل یک بیماری واگیردار تنفسی است که از طریق هوا منتقل میشود. زمانی که فرد مبتلا به سل فعال ریوی سرفه، عطسه، صحبت یا حتی خنده میکند، ذرات بسیار ریزی حاوی باکتری سل در هوا پخش میشوند و افراد دیگر با تنفس این ذرات ممکن است آلوده شوند.
نکته مهم:
تماس کوتاهمدت معمولاً باعث انتقال نمیشود؛ قرار گرفتن طولانیمدت در فضای بسته با فرد مبتلا، بیشترین خطر را دارد.
علائم بیماری سل ریه
علائم سل ممکن است بهتدریج ظاهر شوند و در مراحل اولیه خفیف باشند، به همین دلیل گاهی تشخیص آن به تأخیر میافتد.
شایعترین علائم سل ریوی:
-
سرفه مداوم بیش از ۳ هفته
-
خلطدار شدن سرفه (گاهی همراه با خون)
-
تب خفیف و طولانیمدت
-
تعریق شبانه
-
کاهش وزن غیرطبیعی
-
بیاشتهایی
-
خستگی و ضعف عمومی
-
تنگی نفس یا درد قفسه سینه
چه افرادی بیشتر در معرض ابتلا به سل هستند؟
برخی افراد به دلیل شرایط بدنی یا محیطی، بیشتر در معرض ابتلا به سل ریه قرار دارند:
-
افراد با سیستم ایمنی ضعیف (دیابت، HIV، مصرف کورتون)
-
سالمندان
-
افراد سیگاری
-
کسانی که در محیطهای شلوغ یا بسته زندگی یا کار میکنند
-
افرادی که تماس نزدیک با بیمار مبتلا به سل داشتهاند
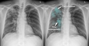
روشهای تشخیص سل ریه
تشخیص سل نیازمند بررسی دقیق توسط پزشک متخصص ریه است. مهمترین روشهای تشخیصی عبارتند از:
-
آزمایش خلط برای شناسایی باکتری سل
-
عکسبرداری از قفسه سینه (X-ray)
-
سیتیاسکن ریه در موارد خاص
-
تست پوستی مانتو (PPD)
-
آزمایشهای مولکولی پیشرفته
